Видалення постійних зубів та зуба мудрості ціна
| Категорія складності | Вартість, грн. | |||
|---|---|---|---|---|
| Видалення | Анестезія | Разом: | ||
| Видалення звичайних зубів | ||||
| I | 1350 | 350 | 1700 | |
| II | 1750 | 350 | 2100 | |
| Хірургічне | 2250 | 350 | 2600 | |
| Видалення зуба мудрості | ||||
| Звичайне | 2550 | 350 | 2900 | |
| Хірургічне | 4550 | 350 | 4900 | |
*без урахування вартості накладання швів та додаткових послуг
Видалення зубів за типами складності, що це?
- 1 ступень складності - Видалення фрагментів зубів, молочних або рухливих зубів за допомогою елеваторів та щипців
- 2 ступень складності - Видалення постійних зубів або коренів (крім зубів мудрості), за допомогою елеваторів або щипців без необхідності використання додаткових інструментів та хірургічних технік. У деяких випадках може знадобитися кюретаж лунки
- 3 ступень складності - Видалення постійних зубів (крім зубів мудрості) або їх коренів з використанням хірургічної фрези.
- 3 ступень складності - Просте видалення зубів мудрості верхній або нижній щелепи без використання хірургіних технік.
- 4 ступень складності - Видалення зуба з застосуванням хірургічного втручання, до цієї складності може належати видалення неправильно розташованих зубів, зачатків зуба, які виросли не повністю, незвичайна форма, положення або розмір коренів зуба, доступ до коренів ускладнений
Видалення зуба є стандартною процедурою, яка виконується кваліфікованим стоматологом. Однак, як і будь-яка інша медична процедура, вона може мати свої ризики та ускладнення, тому важливо обговорити всі можливі ризики та побічні ефекти з лікуючим стоматологом перед проведенням процедури
| Хірургічні процедури та послуги | Вартість, грн. |
|---|---|
| Накладання швів | 500 |
| Лікування альвеоліту | 950 |
| Розтин абсцесу, дренаж | 950 |
| Встановлення колагенового конусу Parasorb | 1350 |
| Пластика вуздечки | 2550 |
| Резекція верхівки кореня, цистектомія | 5250 |
| Гінгівопластика | від 2500 |
| Трансплантація рецесованої ділянки ясна | 3300 |
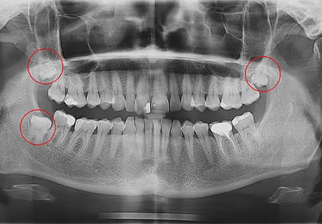
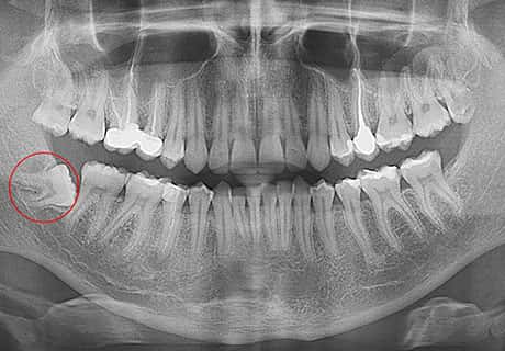
Зуби мудрості не виросли повністю
Атипове розташування зуба
Рекомендації після видалення зубів:
Дуже важливо дотримуватися певних рекомендацій, щоб забезпечити швидше та ефективніше загоєння рани та уникнути ускладнень.
- Намагайтеся не курити та не вживати алкогольні напої протягом перших 48 годин після видалення зубів, оскільки це може призвести до затримки загоєння та підвищення ризику інфекції
- Уникайте інтенсивних фізичних вправ, прийому гарячого душу або ванни, а також активного жування протягом перших кількох днів після видалення зуба для запобігання кровотечі
- Виключіть жорстку та тверду їжу, оскільки це може пошкодити рану та уповільнити процес загоєння. Намагайтеся не жувати на той бік, де видалено зуб. Перші кілька днів після видалення зуба слід дотримуватись м'якої їжі
- Приймайте рекомендовані ліки, включаючи антибіотики та протизапальні препарати, щоб запобігти інфекції, знизити біль та запалення. Прийом ліків необхідно проводити відповідно до призначення лікаря
- Намагайтеся не користуватися зубною щіткою в зоні видалення зуба протягом перших днів після процедури. Можна використовувати м'яку зубну щітку для чищення зубів в інших частинах рота.
- Якщо були накладені шви, необхідно записатися на прийом для їхнього зняття. У деяких випадках використовуються нитки, що розсмоктуються. Зняття швів є простою процедурою та, як правило, безболісною.
- Дотримуйтесь рекомендацій вашого стоматолога і не пропускайте призначені вам відвідування для контролю та очищення рани за необхідності
- Терміново зверніться до стоматолога, якщо у вас виникнуть сильні болі, кровотеча, набряк, температура або інші неприємні симптоми, які можуть вказувати на ускладнення