Ціни на професійну гігієну порожнини рота
| Назва процедури | Вартість | ||
|---|---|---|---|
| Комплексна чистка зубів від каменю та нальоту з гліцином "Classic", 2 щелепи | 2500 | ||
| Комплексна чистка зубів "Кальціем" і глибоким фторуванням ємалі, 2 щелепи | 3000 | ||
| Стоматологічна чистка зубів з брекетами, 2 щелепи | 3000 | ||
| Отдельные процедуры | |||
| Зняття зубного каменю ультразвуком + полирування зубів, 1 щелепа | 1200 | ||
| Безконтактна чистка апаратом AirFlow від нальоту, 1 щелепа | 1000 | ||
| Комбінована чистка: Ультразвук + Airflow, 1 щелепа | 1350 | ||
*Використання одноразового губного ретрактора оплачується окремо
Записатись на чистку зубів
Що входить до процедури чистки зубів:
- Ультразвукова чистка від зубного каменю;
- Зняття залишків зубного каменю і зубного нальоту безконтактним чищенням Air-Flow;
- Полірування зубів ротаційною щіткою зі спеціальною пастою;
- Консультація лікаря;
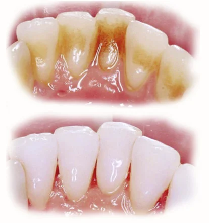
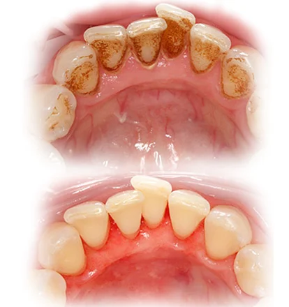
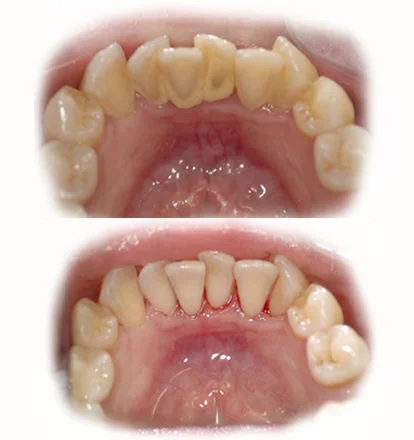
Приклади чистка зубів
Рекомендації після професійної гігієни ротової порожнини
- Уникайте їжі та напоїв протягом 60 хвилин після процедури, цей час необхідно, щоб зуби та ясна відновилися від впливу інструментів, що використовуються при чищенні;
- Після стоматологічної чисткі зуби більш чутливі до насичення пігментами, тому для закріплення отриманого ефекту, бажано виключити на 2-3 години з раціону харчування всі продукти, які містять барвники;
- Не палити. Смоли від сигаретного диму в процесі куріння осідають на поверхню зубів, створюючи коричневий зубний наліт, що важко очищається, який прилипає до емалі. Це може призвести до погіршення стану здоров'я зубів та ясен, а також прискорити утворення нальоту та зубного каменю;
- Чистіть зуби двічі на день, найкраще після сніданку і перед тим, як лягати спати. Не варто забувати про ретельне чищення кожного зуба, використовуючи зубну щітку середньої жорсткості, уникаючи великого тиску на зуби, щоб не травмувати емаль. Крім цього, необхідно користуватися зубною ниткою або іригатором для видалення залишків їжі між зубами, бажано перед сном. І ополіскувач рота для свіжого подиху та усунення бактерій;
- У разі тимчасової кровоточивості та набряку ясен дотримуйтесь рекомендацій вашого стоматолога. Також можна полоскати ротову порожнину хлоргексидином і розведеним у питній воді розчином перекису водню 1 чайна ложка 3% перекису водню на 100мл. теплої води. 1-2 дні 2-3 рази у день. За відсутності протипоказань та індивідуальної непереносимості препаратів;
- Навіть якщо ви добре і систематично чистите зуби, професійна чистка зубів від каменю та нальоту є необхідною процедурою для підтримки здоров'я порожнини рота. Радимо відвідувати стоматолога не рідше ніж раз на півроку;
Стоматологічна чистка зубів, що це?
Процес видалення зубного нальоту, каменю та плям з поверхні зубів із застосуванням спеціальних інструментів та апаратів, що виконується стоматологом або гігієністом. Дана процедура може складатися як з окремих маніпуляцій, наприклад тільки ультразвукова чистка зубного каменю для групи зубів або однієї щелепи, так і бути комплексною, включаючи три основні способи стоматологічної чистки. У сукупності вони дозволяють ефективно та безпечно зняти наліт та камінь, який може стати причиною карієсу, запалення ясен і навіть випадання зубів. Рекомендовано приблизно один раз на шість місяців проводити стоматологічне чищення зубів.
Ультразвукова чистка зубів
Чистка зубів AirFlow
Полірування зубів
Чистка зубного каменю ультразвуком
Сучасний і продуктивний спосіб видалення зубного каменю, також відомий як чистка зубів ультразвуком. Ця процедура не шкодить емалі. У процесі стоматологічного чищення зубів, насадка скалера генерує високочастотні вібрації, які збивають тверді відкладення. Зубний камінь - це наліт, що затвердів. Харчові залишки формують липкий осад, який накопичується, ущільнюється та цементується вздовж лінії ясна. При недостатньому щоденному чищенні зубів формування зубного каменю проходить швидше. Однак, навіть при хорошій та систематичній гігієні, наліт з часом осідає в зонах, які складно вичищати навіть електричною щіткою.
AIR-FLOW - видалення темного зубного нальоту
Апарат Air Flow є чудовим методом видалення зубного нальоту. Ця процедура здійснюється за допомогою стоматологічного приладу, який подає на зуби потік води під тиском, змішаний з повітрям та дрібнодисперсним шліфувальним порошком (стоматологічний бікарбонат натрію або кальцію). AirFlow дуже добре очищає зуби від біоплівки та пігментованого зубного нальоту, який неможливо прибрати звичайною щіткою, що утворився через куріння або вживання кольорових напоїв та їжі.

Полірування зубів
Полірування зубів - це процедура, яка надає зубам лоск і допомагає створити гладку і блискучу поверхню, покращує освітлення зубів, роблячи їх білішими і яскравішими. а також запобігає накопиченню зубного нальоту на емалі зубів на певний час. Процедуру можна проводити як у комплексі чистки зубів, так і окремо для шліфування пломб та реставрацій.
Герметизація емалі зубів
Або глибоке фторування. Фтор є важливим профілактичним елементом для здоров'я зубів, оскільки він допомагає зміцнювати зубну емаль і запобігати появі та розвитку карієсу. зменшити чутливість зубів. Під час процедури глибокого фторування ми використовуємо препарат, що містить комбінацію фторидів, які створюють захисний шар та насичують емаль. зуба мінералами. Стоматологи використовують для цієї маніпуляції склади різних виробників та сили дії.